English
—— 最新推出:基因组编辑工具CRISPR/Cas9专家系统 ——               
 
     
  CellDetect® 染色结果参考判定标准  
     
 

【颜色分析】

  • 正常细胞:胞质呈绿色或蓝绿色,胞核呈紫红色
  • 非肿瘤性异常细胞:胞质呈绿色或蓝绿色,胞核呈紫红色
  • 不典型上皮细胞/高级别病变细胞:胞质呈红色或紫红色,胞核呈紫红色
  • 炎症细胞/红细胞:炎症细胞胞核呈紫色(偶尔呈蓝色或绿色),炎症细胞胞质为蓝色或绿色;红细胞胞质均呈绿色

【颜色/形态图谱】

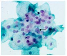
正常上皮细胞

  • 脱落细胞中包括基底细胞、中间细胞和成熟鳞状上皮细胞。基底细胞到成熟上皮细胞的形状是由椭圆形到多边形,细胞核由大到小,细胞质由少到多。
  • 正常单个鳞状上皮细胞(非成团细胞)胞核和胞质呈蓝色或绿色。
  • 成团子宫颈鳞状上皮细胞(>5个细胞)中,多数团块外周细胞胞质和胞核呈绿色或蓝色,细胞团中心细胞呈粉红色或红色。
  • 子宫颈管上皮细胞立方形,核圆,细胞成团排列,染色后呈鲜红色,偶为紫色。

图1. 正常上皮细胞染色(200×)
A:单个正常鳞状上皮;B:成团鳞状上皮细胞(多于5个细胞);C:子宫颈管上皮细胞(箭头所示)

反应细胞

  • 胞质呈绿色或蓝色,胞核呈粉红色或红色。
  • 核增大,为中间细胞胞核的2.5~3倍,偶见双核或多核,核轮廓光滑,核内染色质结构正常,分布均匀,有单个或多个核仁。

图2. 反应细胞染色(400×)

不典型细胞与高级别病变细胞

  • 不典型细胞与高级别病变细胞胞质和胞核均呈红色。
  • CIN1细胞胞核增大至中间细胞胞核的3倍以上,核染色质可细腻或颗粒状,分布均匀,无核仁或不明显。
  • CIN2细胞形态居于CIN1-3之间。
  • CIN3细胞大小不一,核异形,常见明显的核裂或核凹,核染色质可呈粗糙颗粒状,偶见核仁。
  • SCC细胞与CIN3特征相似,但核异型更明显,常出现大核仁或裸核,核内染色质分布不匀、粗糙块状。

图3. 不典型细胞和高级别病变细胞染色(400×)
A:CIN1细胞;B:CIN2-3和SCC细胞(箭头所示)

炎症细胞和红细胞

  • 炎症细胞胞核呈紫色(偶尔呈蓝色或绿色),炎症细胞胞质为蓝色或绿色。细胞核较小,分叶状,细胞质少或缺失。
  • 红细胞胞质均呈绿色。

图4. 炎症细胞和红细胞染色(200×)
A:炎症细胞;B:红细胞(箭头所示)